Una vez estabilizada, se interroga a los propietarios, los cuales explican que 24 horas antes la perra, en un paseo, se metió en una zona de contenedores de basura, no siendo los propietarios capaces de especificar qué comió. Unas horas después de dicho paseo, empezó a presentar signos digestivos agudos (vómitos y diarreas), por lo que fue atendida en otro centro veterinario, donde le realizaron radiografías de abdomen, descartando obstrucciones por cuerpo extraño y se le administró tratamiento sintomático con sueroterapia IV y medicación gastroprotectora. A última hora de la tarde la perra estaba mucho mejor, por lo que se le dio el alta y se fue a su casa. Finalizando la madrugada, Miga empezó a convulsionar, por lo que los propietarios acuden con ella a una segunda clínica veterinaria, ésta con servicio de urgencias, a primera hora de la mañana.
La analítica básica realizada una vez controlado el estatus epilepticus revela una marcada azotemia y leve elevación de ALT. La paciente está normotérmica, pero presenta marcada disnea y crepitaciones a la auscultación pulmonar, siendo la auscultación cardiaca normal.
Teniendo en cuenta el estado de gravedad, se mantiene a la paciente conectada al sistema de oxígeno y con medicación anticonvulsiva y sueroterapia. Para no movilizarla, se decide realizar un protocolo de diagnóstico ecográfico, tanto abdominal como torácico.
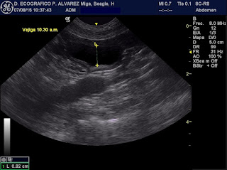
La ecografía abdominal revela unos riñones de tamaño normal y simétricos, pero con una marcadísima hiperecogenicidad de la corteza renal. No se observan signos de pielectasia ni derrame perinéfrico. La vejiga de la orina presenta casi nula distensión (en este momento se vuelve a interrogar a los propietarios, los cuales confirman que Miga no ha orinado desde el día anterior).
Se sospecha entonces de un cuadro de Fallo Renal Agudo oligúrico/anúrico, posiblemente con edema pulmonar y cerebral asociado al acúmulo de fluidos sin eliminación de los mismos por vía renal.
Ecográficamente, una hiperecogenicidad tan marcada de la corteza renal es sugestiva de Necrosis Tubular Aguda, que puede aparecer en infecciones por Leptospira spp, e intoxicaciones agudas por Etilenglicol y uvas (en perros). Ante la posible etiología infecciosa, se procede a tratar a la paciente con precaución.
Se realiza una ecografía torácica en la que se observan múltiples Líneas B, lo cual confirma el diagnóstico de edema de pulmón.
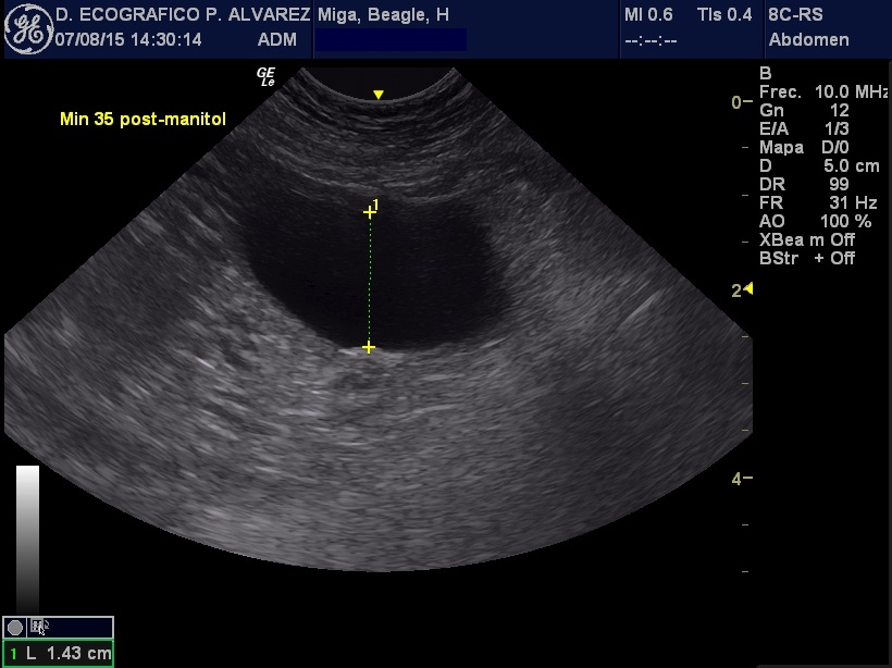
Se procede entonces a realizar un protocolo de diuresis forzada, inicialmente con furosemida (dos dosis) y posteriormente con manitol en CRI, valorándose la producción de orina a lo largo del tiempo midiendo el grosor de la luz vesical tomando el mismo corte ecográfico a igual profundidad y aumento.
Pese a todos los esfuerzos, la producción de orina es nula y el cuadro convulsivo no se controla, por lo que se decide practicar la eutanasia a Miga.
Ante la posible etiología infecciosa, se realiza una necropsia con toma de muestras de hígado, bazo y riñones, así como extracción de orina directamente de la vejiga para realización de PCR de Leptospira spp.
La PCR de Lepstospira resulta negativa, mientras que la biopsia renal confirma la Necrosis Tubular Aguda. Se determina que además existe una Esplenitis Hiperémica y Degeneración Hepática Vacuolar con congestión hepática.
Comentarios:
Los hallazgos histopatológicos renales con compatibles con nefrotoxicosis, como la causada por ingestión de etilenglicol y uvas, aunque hay que considerar procesos infecciosos con imágenes semejantes, como la Leishmaniosis, erlichiosis y leptospirosis.
El hígado presenta una degeneración vacuolar moderada, así como congestión, la cual se supone secundaria a la retención de fluidos por el fallo renal anúrico.
El bazo presenta esplenitis hiperémica.
Se presupone un diagnóstico de INTOXICACIÓN de origen desconocido, aunque hay que tener en cuenta que el diagnóstico de Leptospirosis es un reto clínico, y la PCR en orina no es determinante si la infección tuvo lugar menos de 7-10 días antes de la toma de la muestra.






